CALL NOW: 020 8673 7727
Implants have a great prognosis (longevity) in most patients, if they are well maintained through regular visits to the hygienist and dentist.
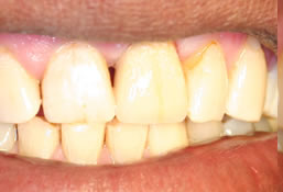
Dr Little restored this implant with a crown that matched very closely, the characteristics of the patient’s other (natural) front tooth.
![]() |
![]() |
For more information on Dental Implants please visit the BDA website or on Wikipedia


